window.dataLayer = window.dataLayer || []; function gtag(){dataLayer.push(arguments);} gtag('js', new Date()); gtag('config', 'G-J2M3FHDS7J');

rico

Über Rico Pfirstinger

Der Autor hat bisher keine Details angegeben.
Bisher hat Rico Pfirstinger, 20 Blog Beiträge geschrieben.
16 06, 2021

Wie riskant sind Kontrastmittel?

2021-09-16T16:09:39+01:00

Kontrastmittel bei CT und MRT Wie riskant sind Kontrastmittel? In der Computer- und Kernspintomographie können mithilfe von Kontrastmitteln deutlich mehr Informationen im Rahmen der Untersuchung gewonnen werden. Die von uns verwendeten Produkte sind in den allermeisten Fällen gut verträglich. Dennoch gilt es, verbleibende Risiken und Nebenwirkungen von Kontrastmitteln stets [...]

Wie riskant sind Kontrastmittel?2021-09-16T16:09:39+01:00
18 05, 2021

Dem Tumor auf der Spur: wie die multiparametrische Prostata-MRT Leben rettet

2023-07-25T09:08:37+01:00

So funktioniert die multiparametrische Prostata-MRT Dem Tumor auf der Spur In Deutschland erkranken jedes Jahr mehr als 60.000 Männer an Prostatakrebs, er tritt bei fast jedem dritten Mann über 50 und bei mehr als zwei Drittel der 80-jährigen Männer auf. Jeder fünfte Erkrankte stirbt daran. Das frühe Erkennen eines [...]

Dem Tumor auf der Spur: wie die multiparametrische Prostata-MRT Leben rettet2023-07-25T09:08:37+01:00
11 05, 2021

Prostatakrebs-Früherkennung im MRT

2023-07-25T09:07:34+01:00

Prostatakrebs-Früherkennung im MRT Mehr als 90 Prozent Sicherheit Prostatakrebs ist der häufigste bösartige Tumor bei Männern. Er tritt bei fast jedem dritten Mann über 50 und bei mehr als zwei Drittel der 80-jährigen Männer auf. Im Frühstadium verläuft er meist symptomlos und wird deshalb oft erst spät entdeckt. Umso [...]

Prostatakrebs-Früherkennung im MRT2023-07-25T09:07:34+01:00
4 05, 2021

Brustkrebs-Früherkennung: Abtasten, Ultraschall, Röntgen oder MRT?

2021-06-28T09:44:46+01:00

Brustkrebs-Früherkennung: Abtasten, Ultraschall, Röntgen oder MRT? Mammographie: Untersuchungsmethoden im Vergleich Unser jüngster Beitrag zur MR-Mammographie hat in den sozialen Medien einen Nerv getroffen und für eine engagierte Diskussion gesorgt. Im Rahmen dieser wichtigen Vorsorgedebatte stellen wir hier nun die verschiedenen Methoden gegenüber, aus denen Frauen für die Brustkrebs-Früherkennung auswählen [...]

Brustkrebs-Früherkennung: Abtasten, Ultraschall, Röntgen oder MRT?2021-06-28T09:44:46+01:00
29 04, 2021

Mammographie im MRT

2022-05-01T15:51:09+01:00

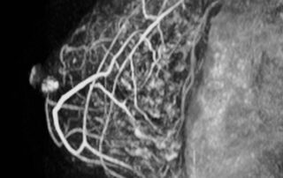
Bis zu 99% Genauigkeit: multiparametrische Mammographie im MRT Die optimale Brustkrebsvorsorge In Deutschland erkrankt etwa jede achte Frau an Brustkrebs – Tendenz steigend. Rechtzeitig erkannt und behandelt sind die meisten Erkrankungen jedoch heilbar. Die multiparametrische MR-Mammographie ist dabei die mit Abstand genaueste und sicherste Untersuchungsmethode. Das Mammakarzinom ist mit [...]

Mammographie im MRT2022-05-01T15:51:09+01:00
27 04, 2021

Interview mit Dr. Gerald Retzl

2021-04-27T14:00:24+01:00

Gespräch mit Dr. Gerald Retzl, Gründer und Leiter der Privatradiologie Regensburg „Ein persönliches und finanzielles Wagnis“ Dr. Gerald Retzl über seine Komfortzone, den Faktor Zeit – und wie sich die Privatradiologie Regensburg von anderen Praxen unterscheidet. Herr Dr. Retzl, wie kamen Sie dazu, im Januar 2021 eine eigene Radiologiepraxis [...]

Interview mit Dr. Gerald Retzl2021-04-27T14:00:24+01:00
23 03, 2021

Angstpatienten in der Radiologie

2022-04-24T12:38:07+01:00

Angstpatienten in der Radiologie Keine Angst vor engen Röhren! Ob Platzangst, Angstscham, Präventionsphobie oder Angst vor der Angst – wer darunter leidet, geht oft nicht gern zum Radiologen. In der Privatradiologie Regensburg stellen wir sogenannte „Angstpatienten“ jedoch nicht ins Abseits, sondern sind in jeder Hinsicht bestens auf sie vorbereitet. [...]

Angstpatienten in der Radiologie2022-04-24T12:38:07+01:00
15 03, 2021

Vorsorge in Corona-Zeiten

2021-08-31T06:59:42+01:00

Vorsorgeuntersuchungen retten Leben Vorsorge in Corona-Zeiten Ob Prostata, Brust, Gehirn oder Lunge: Wer Vorsorgeuntersuchungen beim Arzt verpasst, riskiert auch in Corona-Zeiten die Gesundheit. In der Privatradiologie Regensburg kennen wir das Problem – und bieten eine Lösung. Seit Beginn der Pandemie gehen Menschen aus Sorge vor einer Ansteckung mit dem neuartigen [...]

Vorsorge in Corona-Zeiten2021-08-31T06:59:42+01:00
26 02, 2021

Im Fokus: Dr. Gerald Retzl

2021-02-26T08:16:31+01:00

Im Fokus: Praxisgründer Dr. Gerald Retzl „Diagnostik beginnt beim Zuhören“ Der gebürtige Wiener kam 2002 nach Regensburg und war dort zunächst an der Uniklinik Regensburg und im Krankenhaus der Barmherzigen Brüder als Assistenzarzt in der Radiologie tätig. Nach seiner Facharztausbildung arbeitete er zehn Jahre lang als Vertretungsarzt in verschiedenen renommierten [...]

Im Fokus: Dr. Gerald Retzl2021-02-26T08:16:31+01:00
21 02, 2021

Der Mensch steht stets im Mittelpunkt

2021-12-29T10:44:01+01:00

Der Mensch steht bei uns stets im Mittelpunkt Mitte Januar war es soweit: Nach fast einjähriger Bauzeit öffnete die „Privatradiologie Regensburg“ in Pentling ihre Türen. Dort untersuchen und behandeln wir unsere Patienten unter der Leitung des erfahrenen Facharztes Dr. Gerald Retzl mit einem Kernspintomographen (MRT) der neuesten Generation sowie einem [...]

Der Mensch steht stets im Mittelpunkt2021-12-29T10:44:01+01:00
Nach oben